文章来源:最后一支多巴胺
原文:https://mp.weixin.qq.com/s/E49l58v32Q8jlRpeGpAX1Q
我问大家一个问题:“你有没有腹泻过?”
这个问题似乎有些多余,人生天地之间,吃五谷杂粮,又怎么可能从来没有腹泻过呢?
甚至会有朋友反问我:“你这不是废话吗?有谁不记得你曾经分享过的那个故事《从腹泻到死亡,只不过12小时的距离》”
不错,我曾经很多次在文中提到过一些关于腹泻的病例。
今天,我却要重复强调一下:“你知道什么是腹泻吗?”
你知道吗?
你不知道!
为什么今天又要再次提到这个陈年老话题?
因为最近一段时间,多巴胺在急诊抢救室里先后遇见了几个关于“拉肚子”的病例,病人们甚至经历了在死亡线上垂死挣扎。
事后回想,这几个病人如果在一开始就能够正确认知自己“腹泻”的症状,如果医生能够对病人“腹泻”症状又足够的预判的话,又或许不至与此。
请先不要急于否认自己认知上的盲区,跟着多巴胺的节奏来看下面这几个真实的病例吧!
第一个故事:腹泻五小时后,突然命悬一线
前日夜班,夜已过半。
一对夫妻来到了急诊室,丈夫搀扶着患病的妻子,病人紧锁着眉头,精神状态看上去很差。
“拉肚子快五个小时了,吃了药也不缓解,要不然也不会夜里来看病。”我还没有开口,患者的丈夫便解释了深夜就诊的原因。
病人艰难坐了下来,看样子正在忍受着腹部的疼痛。
但是,引起我注意的并不是腹痛给患者带来的痛苦貌。而是,病人明显苍白的面色和口唇。
"吃过晚饭后就开始肚子痛,拉肚子了....."这是病人自己提供的病史。
或许病人说的是实情,但此刻最重要的是患者的生命体征,因为测得仅为85/45mmHg.
进一步查体又发现,患者不仅存在着全腹部的压痛,而且拒按。
是什么导致病人陷入休克的危险境地?
如果用急性胃肠炎或者食物中毒来解释的话,似乎有些牵强。
又继续追问才获得重要资料:平日里月经尚且规律的患者,末次月经已经是五十余天之前的事情了。
“宫外孕”这可怕的三个字不由自主浮现在了我的脑海之中,毕竟曾经有过类似的病例。
“你所谓的拉肚子具体是什么情况呢?解了几次大便,大便性状到底怎么样?量有多少?”
病人给出的答案便是:“大便六七次,没有多少。”
快速补液稳定血压后便第一时间为病人完善了超声、CT等检查,果然证实了宫外孕破裂出血的诊断。
病人出血量非常大,血压一度下降到仅为48/35mmHg.
下图便是患者的检查资料之一,可见腹腔已有大量积液。

虽然这位病人最终通过手术得以续命,但我们不仅想要,如果病人在“腹痛腹泻”一开始便来到医院,而不是误以为自己是“拉肚子”耽误了五个多小时的话,可能便不会如此惊心动魄了。
第二个故事:吃坏了东西,还要划开肚子?
有一天中午,急诊室里来了一位中年男子。
他手里拿着病历本,径直要求我为他开药输液。
“什么病我还不知道,怎么可能给你开药输液呀。”他的要求被我拒绝了。
中年男子却不以为意,坚持道:“就是拉肚子,用点消炎药就可以了。”
说实话,像这位中年男子一样习惯指挥医生的人有很多。
然而,不见到患者不开药却是多巴胺个人的工作原则之一。
我简单了安抚这位中年男子,让他坐下之后下了解了具体情况。
原来病人并不是他,而是他17岁的儿子。
17岁的患者前一日进食冷饮之后便开始腹痛腹泻,在诊所输液一次后没有明显缓解,所以便想到来医院继续治疗。
因为患者本人尚在学校读书,于是中年男子提前一步赶到医院,意欲提前开好治疗好节省时间。
但是,对于病患的诊治却并不能通过节省时间来提高效率。否则的话,多数情况下是要跌入火坑里的。
大约半个多小时后,腹痛中17岁的患者在妈妈的陪同下来到了急诊室。
体格检查让我大吃一惊,这哪里是普通的拉肚子,而是有着明显的腹膜炎体征了。
难怪患者一直在强调腹痛,而只是家长在反复说着“拉肚子”
“我开始是拉肚子,但就只有一次,后来解了几次大便,量很少,基本上没有。”患者本人补充了病史信息。
赶紧为患者做了检查,果然被证实为:“急性化脓性阑尾炎”
阑尾炎是生活中我们听过最多的最常见的疾病之一,但常见不代表它就没有什么风险。
事实上,因为急性阑尾炎导致患者身死的悲剧不知有多少。
患者很快便被守住进了病房,并被安排了手术治疗。
下图便是患者手术腹腔中的情况,可见有很多渗出液。
办理住院手续的时候,患者的父亲还在震惊之中:“吃坏了东西,还要划开肚子?”
我告诉他:“划开肚子是因为迫切需要解决化脓的阑尾,而不是因为吃坏了东西。”
现在想想,如果患者家长能够认真了解他的病情,而不是一味坚持“拉肚子”的话,可能患者承受的痛苦要比现在轻了许多。
第三个故事:我来看“拉肚子”,你告诉我是肿瘤?
凌晨五点半,夜班快要结束的时候,急诊室里又来了一位大叔。
大叔告诉我:“拉肚子快一个月了,两腿发软,实在受不了了,来检查一下。”
彻夜忙碌的夜班让我有些烦躁不安,我还在揶揄这位大叔:“拉肚子一个月早不来看,晚不来看,非要现在来看?”
大叔又补充道:“我以为吃药能好嘛,哪里知道没有一点作用,痛起来能出很多汗。”
反复腹痛到大汗淋漓的描述让我有些暗暗吃惊,毕竟大叔的病程长达一个月。
仔细询问之后,大叔又给了更多超出“拉肚子”范畴的信息。
大叔所谓的“拉肚子”只不过是大便次数增多罢了,甚至从来没有出现过水样便。
事实上,这位大叔仅两个多月来便反复出现了大便性状改变和习惯改变,只是近一个月来开始渐渐出现了腹痛的症状。
最重要的是,这种腹痛发作的次数越来越多,大便也时常出现“带血”的情况。
说到这里,大家应该能够猜测出多巴胺当时所想了吧?
对于这位大叔来说,首当其冲的便是要排除结肠癌等消化道肿瘤可能。
对于检查,大叔倒是没有什么异议,因为他来到医院的目的就是为了检查。
只是在面对CT报告时,他却开始质疑起来了:我来看“拉肚子”,你告诉我是肿瘤?搞错了吧?
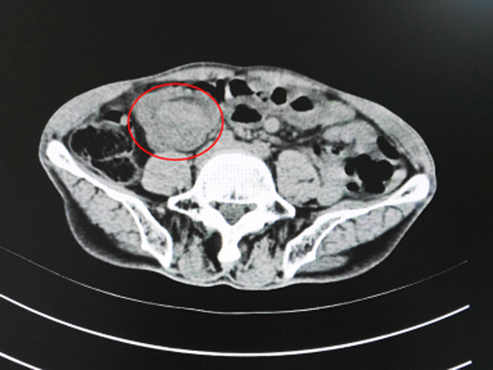
下图便是大叔的腹部CT截图,可以清晰看见占位。

我也希望这只是一场美丽的误会,而不是一场悲剧的开始。
然而,事实就是事实,它不会随着人的主观意识改变而改变。
后来,大叔的女儿赶到了医院,带着大叔住院进一步治疗去了。
我们却难眠要想:如果从两个月前开始大叔便来到医院检查,而不是误认为自己只是拉肚子的话,这占位是不是要小很多?
可惜的是,这个世界上永远没有如果发生。
这些错误你也犯过吗?
以上便是多巴胺近期遇见的关于“腹泻”或“拉肚子”的病例了。
事实上,这么多年以来,在“腹泻”背后发生了太多原本不应该发生的悲剧了。
最后,重点来了。
你知道什么是腹泻吗?
去蹲了几次马桶就是腹泻了吗?
蹲坑的次数增多就一定是“拉肚子”吗?
解了几次不成型的大便就是拉肚子了吗?
“腹泻”的准确定义应该是
指排便次数增多,粪质稀薄,或带有粘液、脓血或未消化的食物。如解大便每日3次以上,或每天粪便总量大于200g,其中粪便含水量大于80%,则可认为是腹泻。超过两个月则属慢性腹泻。(第九版诊断学,人民卫生出版社)
最后,想强调的是:
1、大家一定要牢记腹泻的定义,不能病人说腹泻便是腹泻。记得问问病人有没有解出大便,解了什么样的大便,解出了多少大便......
2、如果自己拉肚子了,请一定记得多回头看看自己解出的大便。因为说不定其中便隐藏着一些玄机。
