文章来源于DrX说 ,作者DrX的医学江湖
原文:https://mp.weixin.qq.com/s/9euWpmvCq2qWvKoeLcAUuQ

1、背痛一天,男子猝然离世,医生措手不及
从医这么多年,我悟出一个道理:“阎王叫你三更死,没人能留你到五更。”尤其是刚刚那个猝然离世的患者,让我再一次感受到了生命的无常。
“他明明就是后背痛啊,怎么这么快就没了呢?我到现在都不敢相信!”
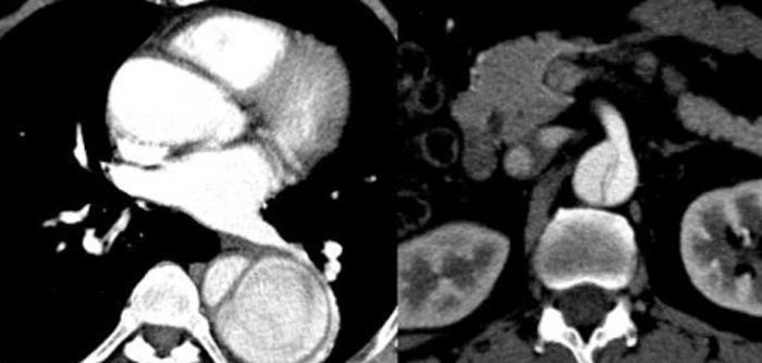
亲眼目睹患者死亡的实习护士,一时之间不知道该怎么平复自己的情绪。大叔被送来时,看起来只是后背有点疼痛,除此之外没有别的严重症状。但护士不知道的是,他患有主动脉夹层,这是一种很严重的疾病。
回想起这位患者,虽然心有不甘,但更多的却是力不从心。52岁的年纪,正值壮年,儿子刚刚结婚,好不容易将一切安顿好应该享受接下来的生活了,却就这样离开了,甚至和儿子的最后一面都没见上。
上午的时候,他被送到急诊科。原来早在前一天晚上他就断断续续出现了背部疼痛,直到次日疼痛感都没有消失,甚至演变为撕裂般的疼痛。
同事出于职业本能,马上察觉到这可能是主动脉夹层。果然,随后的血压测量证实了这一点,左右手血压差居然高达28mmHg。
同事反应固然很快,却还是敌不过病情的变化。上一秒还坐在椅子上的患者,突然倒地不起,颈动脉搏动和呼吸停止,心脏也出现了骤停。
整整三个小时的抢救,还是没有挽回患者的生命。看着眼眶泛红的同事,与嚎啕大哭的家属,第一次感受到了我们面对恶疾时的无奈。
后背疼痛主要有生理性和病理性两个原因,生理性就是我们常见的长时间穿高跟鞋与人字拖、长时间使用手机与电脑、文胸不合身,以及长期情绪过度紧张和压力过大等。
对于生理性原因,我们只要将习惯改变,疼痛一般就会消失,不必过于紧张。而病理性原因就是一些疾病引起的后背疼痛,比如颈椎病、强直性脊柱炎、内脏疾病、心脏疾病等。
对于病理性疼痛,一定要引起重视,以免悲剧重演!
2、左背:心血管疾病
人的心脏一般都在左边,所以心脏疾病而造成的后背疼痛一般也会集中在左侧背部。其中,最典型的就是心绞痛、急性主动脉夹层和心肌梗死等。
心绞痛发作时,心前区会出现明显疼痛,但这不是绝对的,后背、左肩膀、下颌部等都可能出现疼痛。因此出现这些部位疼痛,并怀疑是心绞痛,可以去医院做心电图、冠动脉造影和心电负荷试验等。
在极短时间内出现胸部、背部以及腹部疼痛,并且愈演愈烈,甚至演变为撕裂般疼痛,可能是急性主动脉夹层。需要注意的是,这种疼痛往往是从前胸先开始,并延伸到后背。

如果胸前出现疼痛,并且后背也出现并发性神经痛,高度怀疑是心肌梗死,这种疼痛往往都是活动后加重,休息后又会变轻。
提醒:三高与冠心病患者如果突然出现胸痛或者背痛,同时还有呼吸困难与濒死感,一定要马上拨打急救电话,一点耽搁不得!
